首页
养身
减肥
健身
健康视点
中医
美容
针灸
医食同源
食疗
病理观察
心理
癌症
热点
名医
医院
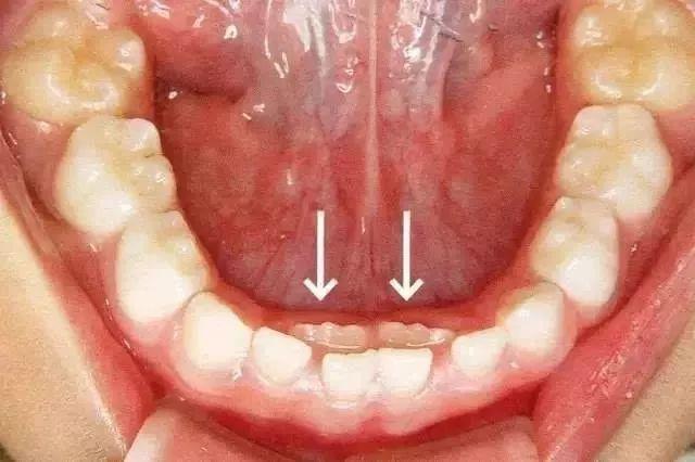
10个孩子里5个长双排牙,医师感叹:都是家长喂出来的
当依据经历,觉得孩子该换牙时,乳牙迟迟不掉,不少新爸爸新妈妈难免严峻。乳牙停留不掉落是一件麻烦事,是咱们要防止的问题。图承继恒牙已萌出,乳牙未掉落(箭头指示承继恒牙)“双排牙的问题现在在临床上很常见,咱们碰到每10个小朋友至少有5个存在,有些好一点的乳牙现已松动,而有些凶猛的乳牙文风不动,只能经过外力拔
2019-03-20 20:59
乳牙|恒牙|苹果
图文推荐
黑马破局!万东稀土悬吊DSA即将上市,挑战进口垄断
共扬卓越—港九药房总商会《2025年度药房最佳合作伙伴》名单出炉
早识别,规范治,鼻过敏不必走弯路:“无敏呼吸·鼻过敏科学防治行动”在京正式启动
冠能免疫加护系列重磅上市,开启科学喂养“干湿搭配”新篇章
奥特奇蒙药推动丹神品牌升级 产学研协同攻关蒙药核心技术
从立标准到动起来:阿里健康携手多家药企发起“减重挑战赛”
点击排行
潮流 | 最最时髦的女生都在买男装穿!
电影里的那些吊炸天大杀器!
混吃喝|天天吃垃圾食品也不长肉的秘诀,我一般不告诉别人
痘痘没了,痘印怎么办?
感冒后运动等于“玩命”?当心免疫系统“误伤”你的心脏
E壁纸 | ONE PIECE 海贼王我当定了!
是这货?华丽颓废的手工睡衣
型款|那些年,吴亦凡穿火了哪些学院元素
想越变越美?你该做到这些事!
男生都爱的素颜女神,其实是这样的……
图文资讯
科技守护健康!探索糖友无创监测的新纪元
和黄医药呋喹替尼欧盟获批 成为上海首个出海美欧两大标杆市场的原创新药
治疗癌痛出“大招” 上海专家为两位肿瘤晚期患者完成鞘内药物灌注系统植入术
恒瑞医药创新药SHR-2173注射液IgA肾病适应症获批临床
五一出游担心孩子积食怎么办?那就带上哈药消食化积口服液吧
友情链接
潮生活
她时代
婴童在线
健康日报
偶像网
时尚中国